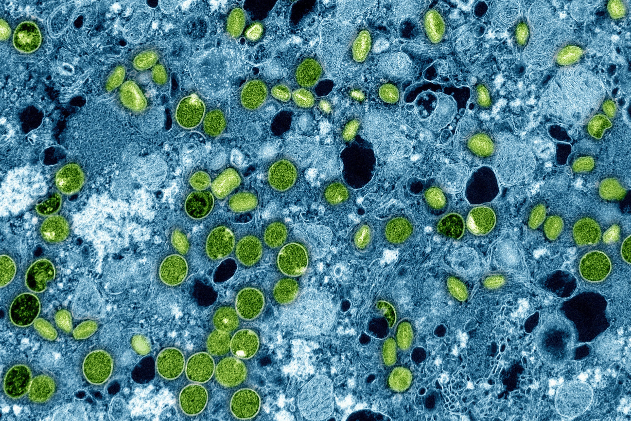
Reino Unido identifica cuatro casos de nueva variante de viruela símica
Es el primer grupo fuera de África.

Nota de archivo: esta historia fue publicada hace más de 1 año.
PUBLICIDAD
Londres. Funcionarios de salud británicos informaron que han identificado cuatro casos de la nueva versión más infecciosa de viruela símica que surgió por primera vez en la República Democrática del Congo, la primera vez que se reporta fuera de África. Los científicos dijeron que el riesgo para el público sigue siendo bajo.
Las autoridades anunciaron el primer caso de la nueva forma de viruela símica (mpox) en el Reino Unido la semana pasada, indicando que la persona había viajado recientemente a países de África con brotes en curso y que estaba siendo atendida en un hospital de Londres.
Esta semana, la Agencia de Seguridad Sanitaria del Reino Unido dijo que ahora había identificado tres casos adicionales que vivían en el mismo hogar que el primer paciente. Ellos también están siendo tratados ahora en un hospital en Londres.
“La viruela símica es muy infecciosa en hogares con contacto cercano y por lo tanto no es inesperado ver más casos dentro del mismo hogar”, dijo Susan Hopkins, principal asesora médica de la Agencia de Seguridad Sanitaria del Reino Unido.
La nueva variante de mpox fue detectada por primera vez a principios de este año en el este del Congo. Los científicos creen que causa síntomas más leves que son más difíciles de notar, lo que facilita su propagación porque las personas pueden no saber que están infectadas. Su propagación en el Congo y en otros lugares de África llevó a la Organización Mundial de la Salud a declarar una emergencia global en agosto.
Gran Bretaña registró más de 3,000 casos de otro tipo de mpox durante un brote en 2022 que afectó a más de 100 países.
La nueva variante también ha causado brotes en Burundi, Kenia, Ruanda y Uganda. También se han reportado casos individuales en viajeros en Suecia, India, Alemania y Tailandia.
Hasta la fecha, ha habido alrededor de 43,000 casos sospechosos de mpox en África y más de 1,000 muertes, la mayoría en el Congo.
El miércoles, la OMS dijo que había asignado 899,900 dosis de vacunas a nueve países africanos que luchan con epidemias de viruela símica.

